Karcinom štítné žlázy je zhoubný nádor. Vzniká tak, že se některé buňky ve štítné žláze začnou nekontrolovaně množit a vytvoří uzel, který roste. Ve velké většině případů se nádor zachytí dříve, než začal metastazovat. Ve srovnání s jinými zhoubnými nádory rostou karcinomy štítné žlázy velmi pomalu a dají se dobře léčit.

Výskyt

Karcinom štítné žlázy je zhoubný nádor. I když jde o relativně vzácné onemocnění (představuje pouhé 1 % všech malignit), je nejčastějším zhoubným nádorem v endokrinologii (90 % endokrinologických malignit). V České republice je popisováno až 600 nově zachycených případů karcinomu štítné žlázy ročně a jeho výskyt stoupá, dílem také díky zlepšené diagnostice.

V USA vyhlásili leden měsícem karcinomu štítné žlázy. Pokud rozumíte anglicky a chcete si přečíst více, např. rozhovory s nemocnými, navštivte tyto stránky.

Rozdělení

Zhoubné nádory štítné žlázy zahrnují především karcinomy, méně často lymfomy a velmi vzácné sarkomy. Karcinomy se dále dělí na papilární (44-81 %), folikulární (18-40 %), anaplastický (3-15 %) a medulární (3-12 %). Ve štítné žláze lze diagnostikovat i metastázy karcinomu plic, prsu, ledvin.

Klinický obraz. Klinicky se nejčastěji projeví jako náhodný nález hmatného většinou nebolestivého uzlu na krku nebo náhodný nález uzlu na ultrazvuku. Uzly ve štítné žláze jsou však časté (vyskytují se u 19-76 % obyvatelstva, především u žen a ve vyšším věku) a zdaleka ne každý uzel znamená karcinom. Naopak, naprostá většina uzlů (90-95 %) je nezhoubných (jde o tzv. pseudocysty, koloidní hyperplastické uzly nebo nezhoubné nádory – adenomy).

Vyšetřovací metody

Základní vyšetřovací metodou při podezření na karcinom je pečlivé palpační vyšetření štítné žlázy a krku a ultrazvuk této oblasti, včetně vyšetření krčních lymfatických uzlin. Ultrazvuk je metoda široce dostupná, a proto by každý hmatný uzel ve štítné žláze měl být ultrazvukem vyšetřen. Ultrazvuk také rozhodne, zda stačí uzel zkontrolovat s časovým odstupem nebo zda je nutné provést punkci uzlu pod ultrazvukovou kontrolou (tzv. FNAB – fine needle aspiration biopsy).

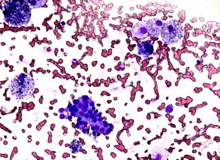
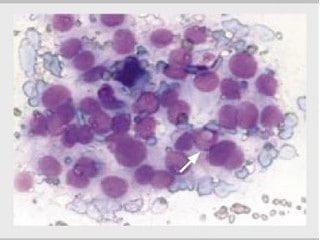
FNAB je jednoduché vyšetření, jehož bolestivost je srovnatelná s běžným odběrem krve. Provádí se po lokální desinfekci krku dvěma vpichy tenkou jehlou do uzlu pod ultrazvukovou kontrolou. Tím je získán materiál na cytologické vyšetření (vyšetření shluků buněk pod mikroskopem). Je-li výsledek FNAB pozitivní nebo podezřelý, je nutná operace (odstranění jednoho nebo obou laloků štítné žlázy). V případě negativního nálezu lze s velmi vysokou pravděpodobností (více než 95 %) zhoubný nádor vyloučit. I v těchto případech však má být velikost uzlu pravidelně kontrolována ultrazvukem a při zvětšování či jiného podezření z malignity je indikována kontrolní FNAB či operace. Pokud uzel roste nebo je jakkoliv jinak podezřelý, musí být provedena operace, i když je FNAB negativní. FNAB nikdy nemá 100 % diagnostickou výtěžnost a průměrně v 5-10 % je třeba odběr opakovat. Je-li odběr opakovaně nediagnostický, je indikována operace.

Pravděpodobnost toho, že je uzel ve štítné žláze je zhoubný, zvyšují především následující faktory: výskyt karcinomu štítné žlázy u příbuzných 1. stupně (rodiče, sourozenci, děti), výskyt jiného nádorového onemocnění u pacienta, léčebné ozařování celotělové nebo horní poloviny těla, opakovaná rentgenová vyšetření a opakovaná vyšetření horní poloviny těla počítačovou tomografií, jiná expozice radioaktivnímu záření (např. zvýšený regionální výskyt karcinomu štítné žlázy po nehodě jaderné elektrárny v Černobylu), probíhající imunosupresivní léčba a anamnéza imunosupresivní léčby pro malignitu v mládí, dlouhodobá neadekvátní a nekontrolovaná léčba tyreostatiky (léky tlumící zvýšenou funkci štítné žlázy), recidiva strumy po operaci, mužské pohlaví, věk <20 let nebo >70 let, chrapot, kašel, poruchy polykání, tvrdý až kamenný uzel, fixace uzlu k okolí, zvětšené lymfatické uzliny na krku, rychlý růst uzlu a nepřítomnost jodového deficitu v dané oblasti. Karcinomy štítné žlázy většinou nijak neovlivňují funkci štítné žlázy.

Medulární karcinom

je zvláštní typ karcinomu štítné žlázy, který je zčásti dědičný (příčinou jsou mutace tzv. RET protonkogenu, které způsobují nekontrolované dělení buněk) a může se vyskytovat i ve spojení s nádory jiných endokrinních orgánů (tzv. syndrom mnohočetné endokrinní neoplazie 2. typu). Postižení nemocní mívají zvýšenou hladinu kalcitoninu. Příbuzní pacientů s medulárním karcinomem štítné žlázy by měli být geneticky vyšetřeni a pokud je u nich zjištěna mutace RET protonkogenu, je štítná žláza preventivně chirurgicky odstraněna.

 

Léčba

V léčbě karcinomu štítné žlázy je na prvním místě operace – úplné odstranění štítné žlázy (tzv. totální tyreoidektomie) s následnou zajišťovací léčbou radiojódem a tzv. supresní léčba tyreoidálními hormony. Supresní léčba zahrnuje podávání tyreoidálních hormonů (tyroxinu) ve vyšších dávkách, které vedou k tzv. supresi (snížení) tyreoidálního stimulačního hormonu (TSH) v krvi pod dolní hranici normálních hodnot. Léčba radioaktivním jódem využívá schopnosti buněk diferencovaného karcinomu vychytávat z krve radioaktivní jód, který způsobí „vnitřní“ ozáření nádorových buněk a jejich zničení. Tuto léčbu nelze použít u medulárního a anaplastického karcinomu, kde je základní metodou jen operace – pokud je nález operabilní a nejsou přítomny vzdálené metastázy. Zmenšení anaplastického a medulárního karcinomu (nikoliv vyléčení) lze dosáhnout zevním ozářením; chemoterapie může být účinná u anaplastického karcinomu. Naopak u vzácného lymfomu štítné žlázy je chemoterapie indikována na prvním místě – dochází po ní obvykle k regresi a operace není potřeba.

Prognóza

Prognóza karcinomu štítné žlázy je většinou dobrá. Nejlepší prognózu má karcinom papilární, zejména pokud je zachycen v časném stadiu (omezen na štítnou žlázu), kdy má téměř 100% vyléčitelnost. Hůře léčitelný je karcinom folikulární (zejména u mužů nad 50 let), ještě hůře medulární a nejzhoubnější průběh má karcinom anaplastický (ten je ale velmi vzácný).

Prevence

Prevencí karcinomu štítné žlázy je – pokud je to možné – vyvarovat se expozici rizikových faktorů, které jsou uvedeny výše. Z praktického hlediska sem patří především uvážlivá indikace opakovaných rentgenových vyšetření a opakovaných vyšetření počítačovou tomografií horní poloviny těla především v dětském věku a vyvarovat se dlouhodobé neadekvátní léčbě tyreostatiky (léky používané k léčbě zvýšené funkce štítné žlázy) bez lékařského dohledu. Prevencí medulárního karcinomu je preventivní odstranění štítné žlázy u příbuzných s prokázanou mutací RET protoonkogenu. Vhodné je samovyšetřování krku, tzn. prohmatání krku a oblastí nadklíčků a konzultace s lékařem v případě hmatné rezistence.

MUDr. Jan Jiskra, Ph.D.